Error!
Please enable JavaScript in your browser
Платформа «ЗУБ ДАЮ»
Login
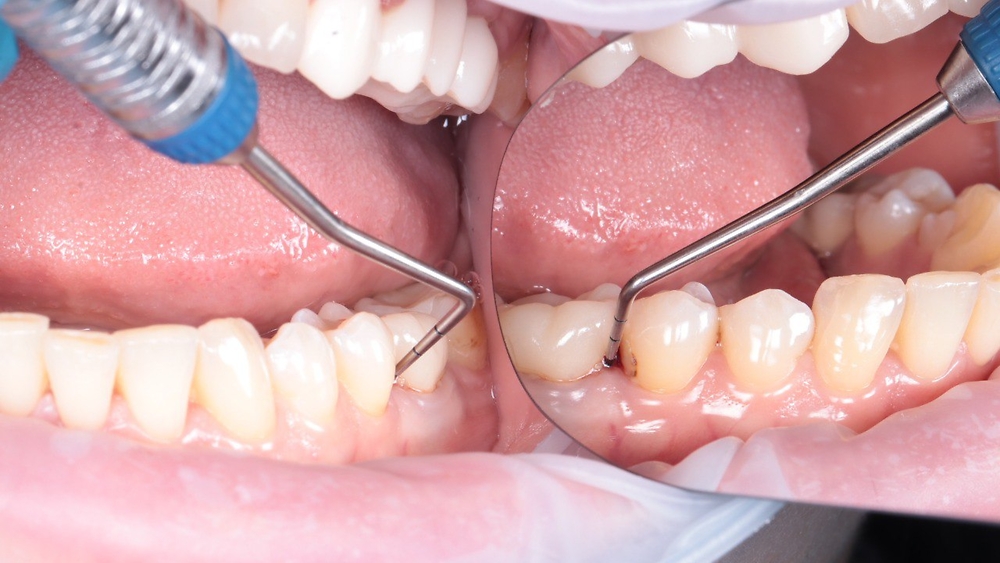
«ТОП-10 рішень в періолікуванні» Ю. Новікова
Health and beauty
Зуб Даю
Leading
Price:
23 USD
Lessons:
3
Course language:
Ukrainian
Get access
Course program
Запис вебінару
Вказати дані для отримання сертифікату
Тестування